Körperaufbau (BIA)

Analyse

Eine wichtige Analyse vor Trainingsbeginn ist die Analyse der Körperzusammensetzung, damit wir wissen, wie der Ausgangswert bezüglich den Massenanteilen der Muskulatur, dem Körperfett und dem Körperwasser ist.

BIA steht für Bioelektrische Impedanz Analyse. Es handelt sich um die genauste in einer Praxis anwendbare Methode zur Messung der Körperzusammensetzung,

Körperaufbau (BIA)

In unserer Praxis bestimmen wir die Körperzusammensetzung mittels der Bioelektrischen Impedanz Analyse. Damit erhalten wir eine genaue Kenntnis der prozentualen Anteile der einzelnen Bestandteile des Körpers.

Die BIA ist die präziseste Methode, mit der sich im klinischen Alltag in kurzer Zeit präzise Resultate ermitteln lassen und die einzige Methode neben den bildgebenden Methoden CT, MRI und US, mit der sich die Muskelmasse eruieren lässt.

Was sagt uns die Analyse des Körper-Aufbaus?

Die Muskelmasse ist neben dem Körperfettanteil die wichtigste Grösse, die man kennen muss, weil sich diese durch Verletzungen oder im Altersgang meistens dramatisch abbaut.

Der altersabhängige Muskelabbau, die Sarkopenie, findet meistens schleichend statt und wird vom Einzelnen kaum bemerkt.

Damit verbunden ist ein Verlust an Skelettmuskelmasse, welche zu einer Verminderung der Maximal- und Schnellkraft führt.

Diese Reduktion ist einer der Hauptfaktoren einer häufig zu beobachtenden Sturzhäufigkeit mit oftmals schwerwiegenden Konsequenzen und dem Verlust an Autonomie und Lebensqualität – siehe Kräftig Altern.

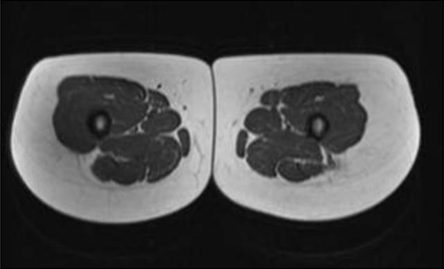
Vergleich des Oberschenkelquerschnitts eines 21-jährigen und eines 83-jährigen – weiss ist Fettgewebe

(Quelle:  published online on 01.11.2019, https://doi.org/10.34045/SSEM/2014/25)

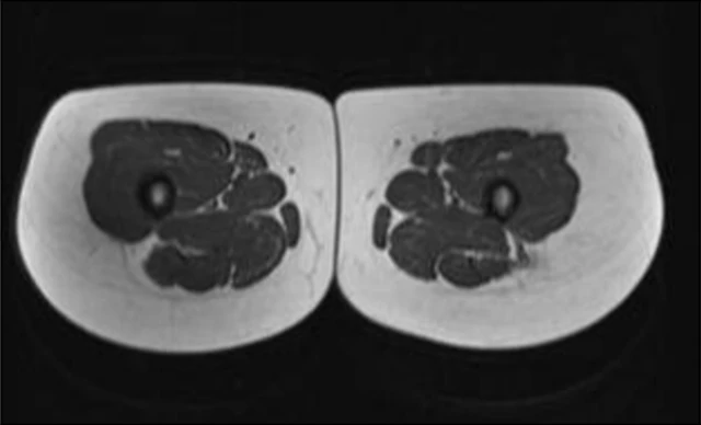
Vergleich des Oberschenkelquerschnitts eines Fettleibigen und Normalgewichtigen

Jedoch ist dieser Muskelabbau nicht schicksalshaft gegeben, sondern er lässt sich durch ein systematisches Training lange Zeit verhindern, ganz gemäss dem Leitsatz «use it, or loos it».

Deshalb muss man vor Beginn eines Trainings wissen, wie der Anteil der Muskelmasse ist, weil sich dieser durch das Training verbessern sollte und das nur durch einen Vergleich mit einem Anfangswert möglich ist.

Wie funktioniert die BIA?

Die BIA nutzt die Eigenschaft des menschlichen Körpers als elektrischer Leiter, so wie man das vom EKG oder EEG her kennt.

Die BIA basiert auf der Messung spezifischer Leitfähigkeiten bzw. spezifischer Widerstände (Impedanz) von Körpergeweben, indem ein sehr schwacher Wechselstrom durch den Körper (800 µA, 50 kHz) auf verschiedenen Wegen geleitet wird.

Dabei gilt, dass

  • das Fettgewebe den elektrischen Strom sehr schlecht leitet = hohe Impedanz und hoher elektrischer Widerstand

  • die fettfreie Masse (z. B. Muskulatur mit hohem Wasseranteil und Elektrolyten) den elektrischen Strom gut leiten = niedrige Impedanz und niedriger elektrischer Widerstand

So kann durch die Messung der Gesamt-Impedanz (Gesamt-Körper-Widerstand) die fettfreie Masse und die Fettmasse bestimmt werden.

Bei der Messung wird angenommen, dass der Mensch ein Zylinder ist, durch den der Strom fliesst.

Wenn der Körper als Zylinder gesehen wird, dann entspricht der Volumenanteil des Zylinders (V), der zur Leitung des Stroms beiträgt, dem Körperwasser (Fett leitet ja nicht). Es wird somit das Volumen des Körperwassers und damit das Volumen der fettfreien Masse gemessen. Dieses Körperwasservolumen wird als TBW – Total Body Water, bezeichnet.

Da das Gewicht und die Größe des Menschen bekannt sind, kann daraus auf das Gesamtvolumen des Körpers und damit auf den Anteil des Körperfetts geschlossen werden.

Mit unserem Gerät können in der fettfreien Massen (FFM) zusätzlich

  • die Extrazelluläre Masse (ECM) und

  • die Körperzellmasse = Body Cell Mass (BCM)

gemessen werden.

Die Extrazellulärmasse (ECM) umfasst den nicht zellulär gebundenen Anteil der Fettfreien Masse (FFM) und besteht hauptsächlich aus extrazellulärer Flüssigkeit (Plasma und interstitielle Flüssigkeit), den Knochen und aus Bindegewebe. Kurzfristige Veränderungen der ECM sind in der Regel auf Schwankungen der Extrazellulären Flüssigkeiten (ECW) zurückzuführen.

Die Körperzellmasse (BCM) umfasst alle von einer Membran umhüllten stoffwechselaktiven Zellen des Körpers und stellt energetisch betrachtet das «Kraftwerk» des Körpers dar. Die Körperzellmasse umfasst sowohl die Skelettmuskulatur als auch die Zellen der Organe (Nicht-Muskel-BCM). Das Verhältnis von Skelettmuskulatur zu Nicht-Muskel-BCM beträgt beim Gesunden 3.5 :1 bis 4:1.

In der Fettfreien Masse läuft der Grossteil aller physiologisch wichtigen Prozesse ab, während die Fettmasse dem Körper hauptsächlich als Energiespeicher dient. Aus diesem Grund ist eine Analyse der Fettfreien Masse besonders bei kranken Personen von Interesse.

Insbesondere die Hydrationsverteilung in der Fettfreien Masse auf die Intra- bzw. Extrazellulärbereiche (ECW) ermöglicht interessante Schlüsse über den aktuellen Ernährungszustand.

Messprinzip

Diese Trennung in ECM und BCM wird mittels phasensensitiver BIA ermittelt, d.h. es wird

  • der Widerstand des Körperwassers, die Resistanz Rz und

  • der Widerstand der Zellen, die Reaktanz Xc = kapazitiver Widerstand

gemessen.

Exkurs: kapazitiver Widerstand

Zellen haben eine geladene Zellmembran und wirken als Kondensator. Der Kondensator (die Zelle) wird im Wechselstrom ständig geladen wieder entladen. Das braucht eine gewisse Zeit, so dass der Wechselstrom „gebremst“ wird. Man spricht vom kapazitiven Widerstand, der ist bei 50 kHz am höchsten. Fettzellen haben nur einen minimalen kapazitiven Widerstand und werden daher nicht erfasst.

Exkurs: Phasen sensitive BIA

Bei Wechselstrom kommt es zu einer Verschiebung der Phase zwischen Strom und Spannung, dem sog. Phasenwinkel, der Strom läuft der Spannung hinterher.

Der Phasenwinkel im menschlichen Körper ist abhängig von der Masse, Integrität und Hydratation der Fettfreien Masse und wird häufig als Indikator für den Zustand der Zellmasse herangezogen.

Der Phasenwinkel verringert sich häufig beim Abbau von Zellmasse und kann somit zur Bestimmung des Ernährungszustandes herangezogen werden.

  • abnehmende Phasenwinkel können durch eine zunehmende extrazelluläre Wassermenge (ECW) verursacht werden. Die häufigsten Ursachen sind: – Muskelabbau (Kachexie) oder Überwässerung des Extrazellulärraumes als Folge einer Störung des Wasserhaushaltes (z. B. Niereninsuffizienz).

  • steigende Phasenwinkel können durch Dehydratation und/oder Aufbau von Zellmasse erklärt werden.

Die Kenntnis des Phasenwinkels kann zur allgemeinen Bewertung der „Gesundheit“ von Zellen benutzt werden, den Zellen ohne Defekte mit hoher Reaktanz = hohem kapazitivem Zellwiderstand bedeutet, dass die Zellmembran dicht und in Ordnung ist.

Zusammenfassung der Messgrössen

Die Messungen der BIA messen drei Kompartimente des Körpers

Kompartiment 1       
Fettmasse (FM)

Kompartiment 2       
Fettfreie Masse (FFM) = TBW davon die ECM mit dem Extrazellulären Wasser (EZW) und Knochen und Bindegewebe

Kompartiment 3       
Fettfreie Masse (FFM) = TBW davon die BCM, die Körperzellmasse

A = Fettmasse
B = Fettfreie Masse inkl. Body Cell Mass
C = Wasserverteilung intra- und extrazellulär

Segmentale Messung

Bei unserem Gerät werden folgenden Segmente gemessen:

  • Rechter Arm – rechter Fuss (RARF) = blau

  • Rechter Arm – linker Arm (RALA) = gelb

  • Linker Arm – linker Fuss (LALF) = grün

  • Rechter Fuss – linker Fuss RFLF) = grau

Beispiel einer Segment-Messung

Dargestellt werden die Segmente der beiden Extremitäten und der Rumpf. Die Fettmasse (FM) und die Fettfreie Masse (FFM) wurden gemessen.

Hier wird das Beispiel einer 10’000 Meter Läuferin gezeigt (59 Kg Körpergewicht). Anhand der Rohdaten Rz und Xc kann der unterschiedliche Trainingszustand der Körpersegmente erkannt werden.

Der Phasenwinkel der Beine ist mit 7.0 deutlich höher als derjenige der Arme mit 5.8, was bedeutet, dass die Beine mehr BCM enthalten.

Darstellung des Dreikompartiment Models

In dieser Darstellung kann in einem einfachen Kuchenmodell schnell die Verteilung der Massen in den drei Kompartimenten dargestellt werden.

Im linken Diagramm werden auf der rechten Seite die Hydrationsverhältnisse mit unterschiedlichen Farben veranschaulicht: blau steht für überwässert, grün für normale Hydration und gelb für dehydriert.

Darstellung der Auswertungs-Ergebnisse

In dieser Darstellung wird das Ergebniss in Tabellenform, mit Smilies in den jeweiligen Balken dargestellt:

In dieser Darstellung, werden die Balken mit der jeweiligen Bedeutung der Messergebnisse kommentiert:

Die Entwicklung und die Wirkungen der Trainingsmassnahmen und begleitender Ernährungsumstellungen können mittels Balkendiagramm dargestellt werden.

Dieser junge Patient macht seit Jahren Krafttraining. Man kann sehen, dass sich der Fettgehalt massiv reduziert hat, die BCM deutlich zugenommen hat und das ECW abgenommen hat.

Gegenüberstellung der BIA mit anderen Messmethoden

Diese Gegenüberstellung streicht die Bedeutung der BIA gegenüber den anderen gängigen Methoden heraus.

Das Wägen

Üblicherweise wird die Messung des Körpergewichtes mit einer Waage durchgeführt. Mit dieser Messung kann lediglich eine Aussage über die Zu- oder Abnahme des Körpergewichtes gemacht werden, nicht aber über deren Zusammensetzung.

Probleme/Limitationen beim Wiegen

Problem I:

Gewichtsveränderungen können viele Gründe haben:

  • Zu-/Abnahme von Fettgewebe (das wird am häufigsten angenommen!)

  • Zu-/Abnahme von Muskelgewebe

  • Gewichtsveränderungen bei Krankheit: Abbau von Protein-Reserven und Kachexie, Ödeme, Aszites.

Problem II:

Kurzfristige Gewichtsschwankungen erlauben kaum eine Aussage über die tatsächliche Veränderung des Gewichts. Das Gewicht hängt ab von

  • der Tageszeit

  • der individuellen Nahrungs- und Getränkeaufnahme

  • dem Toilettengang

  • Wassereinlagerungen (z.B. hormonell) oder Entwässerung (z.B. durch Alkohol)

Der Body Mass Index

Zusammen mit der Körpergrösse kann über die Formel Körpergewicht (Kg) /Körpergrösse2 (m2) der so genannte Body Mass Index, der BMI berechnet werden.

Mit diesem Wert wird definiert, ob jemand unter-, normal– oder übergewichtig ist.

Achtung: BMI ist altersabhängig, alle 10 Jahre: + 1kg/m2

Auch dieser Wert unterliegt gewissen Limitationen.

Zwar definiert die WHO über den BMI Übergewicht und Adipositas (Fettleibigkeit), jedoch ist der Wert gerade bei Sportlern schwierig zu bewerten, da der oftmals erhöhte Anteil der Muskelmasse den Wert verfälschen kann.

Body Mass Index Tabelle

Taillen-Hüft-Verhältnis (WHR, waist to hipp ratio) und Bauchumfang (BU)

Diese beiden Parameter beschreiben das abdominelle Fettverteilungsmuster, welches eng mit kardiovaskulären Erkrankungen korreliert, da das viszerale Fett – das Fett der Bauchorgane, metabolisch aktiv ist.

Es besteht ein erhöhtes Risiko für kardiovaskuläre Erkrankungen, bei einem WHR > 0.8 bei Frauen und >1.0 bei Männern und bei einem BU > 80 cm bei Frauen und > 94 bei Männern.

Ein sehr stark erhöhtes Risiko besteht bei 88/102 cm.

Hautfaltendicke (Calipometrie)

Die Hautfaltendickenmessung wird mit einem so genannten Caliper gemessen.

Das ist eine Art Zange, die mit einer Millimeter Skala versehen ist.

Man klemmt die Hautfalte mit der Zange zusammen und liest den Wert ab.

Die Hautfaltendicke wird an verschiedenen Stellen – 3-Falten oder 5-Faltenmethode, gemessen, addiert und mit Referenzdaten in Tabellenform verglichen.

Die Hautfaltendicke korreliert gut mit dem subkutanen Fett und dieses wiederum gut mit dem Gesamtkörperfett.

Falten-Messtabelle Frauen

Falten-Messtabelle Männer

Bildquelle und weitere Infos zu dieser Methode finden sich hier:
Körperfettanteil berechnen: Wie viel Körperfett ist für Dich ideal? (marathonfitness.de)